2013年8月 1日 « トップへ » 2013年8月 5日
2013年8月 2日
当院で行われた治療の症例集です
当院で実施した治療の症例写真です。
それぞれの項目のリンクをクリックしていただくと、詳しい説明と、治療前・治療後の写真を見ることができます。
インプラント
インプラントとは、歯の抜けた所に人工の歯根を埋め込み、顎の骨と固定した後、人工歯根に歯をかぶせる方法です。
セラミック治療
歯がむし歯や外傷などで大きく欠けたときに天然の歯に最も近い色調と透過性を持つセラミックで修復します。歯を自然に白くすることができます。歯の色や形が気になっている方に好評です。
インレー(詰め物)の症例はこちら
ラミネートベニア(表面にセラミックを貼り付けます)の症例はこちら
セラミッククラウン(差し歯)の症例はこちら
グラディア
歯が部分的にむし歯等で欠けた場合に使う材料です。
保険の詰め物と違い詰めた後に色が変わらないので詰め物が変色したり、むし歯で前歯が黒くなった方等に好評です。奥歯も小さな詰め物には応用できます。
クリーニング
歯の表面についた汚れやたばこのヤニ、色素等を除去することで、歯本来の色に戻すことです。
その他の症例
入れ歯治療、歯周病治療、むし歯治療など、審美性を取り入れた口の中全体の治療例です。
ホワイトニング
加齢、生活習慣、遺伝などが原因で黄ばんだ歯を、薬の力で白く漂白する治療例です。
矯正治療
出っ歯 受け口 乱抗歯等の歯並びの不正を治します。
美しい歯並びは、あなたの笑顔を引き立てます!
歯周病治療
歯周病は歯の周囲の骨が溶ける、恐ろしい病気です。しっかり治療して、一生自分の歯で食事しましょう!
ジルコニアクラウン (女性/中央区)

- 治療前

- 治療後
治療を受けての感想

とてもスムーズに達成感なくきれいに入れていただきました。満足しています
エステニアインレー (女性/中央区)

- 治療前

- 治療後
治療を受けての感想

奥歯で削る時がきつかったけれど、出来上がりには満足している。
一度入れてガリッと割れた時はびっくりしたが、まぁそういう時もあるのかな・・・入れてすぐってなんとなく違和感あるけど
少しずつ慣れてるみたい。
きれいに、達成感なく(周りと)仕上がってよかったです。
プレシャスMB (男性/南区)

- 治療前

- 治療後
治療を受けての感想

写真をみながら治療方針を説明していただいてので安心して治療を受ける事ができました。
オールセラミッククラウン (女性/中央区)

- 治療前

- 治療後
治療を受けての感想

治療についての説明をわかりやすく丁寧にやってうただき、
どういう行程で治療が進むのかよく理解することが
できました。治療中の痛みもほとんどなく、楽でした。
プレシャスMB (女性/中央区)

- 治療前

- 治療後
治療を受けての感想

自分の元の歯と変わらないようでよかったと思います。
スプーンを口に入れたときの「鉄の味」が軽減されていいです。
ラミネートベニア・オールセラミック (男性/中央区)

- 治療前

- 治療中
![]() 治療後 |
ラミネートベニアとは?歯の表面をほんの僅か削り、薄いコンタクト状のセラミックを貼り付けて、白く透き通った美しい歯にします。 歯を削る量が少ないので、歯にやさしく、簡単に白い歯を手に入れられます。写真の指の先に載っているのが、左側がラミネートベニア 右側がソフトコンタクトレンズです。ラミネートの薄さが分かりますね。 |
治療を受けての感想
前歯が折れてどうしようかと思っていましたが、すぐ仮歯を入れてもらい最終的には、元の歯よりも綺麗な歯が入り、うれしくなりました。
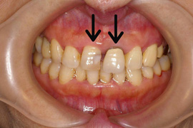
院長のコメント
歯が折れて青くなって来院されたので、即日に仮歯を作り、最終的に綺麗な歯になった患者さんの症例です。
向かって右の歯は、大きく折れていましたので、オールセラミックを入れました。
向かって左の歯は、表面にラミネートベニアを接着しました。2本とも透明感がある綺麗な歯に仕上がりました。
エステニアインレー (女性/中央区)

- 治療前

- 治療後
治療を受けての感想

銀歯が自然な白い歯になって嬉しいです。
虫歯があったことを忘れそうです。
セミプレシャスMB・エステニアIN (女性/南区)

- 治療前

- 治療後
治療を受けての感想

幼い頃から、チョコレートが大好きでムシ歯が沢山あり、歯医者さんとは
縁が切れませんでした。子供を産んでから歯医者さんに、なかなか通わずに
いたら、アッという間に口の中は銀歯だらけになっていきました。笑うのも恥ずかしく、
何と言っても、子供から銀歯だらけでスゴイ!!と言われ、思い切って全部治そうと
思いました。治療時間が長くなる事がわかっていたので何処の歯医者さんに通うか
迷いました。通院しやすいと思い、ドリーム歯科に決めました。初めからとても親切
にして頂き、長期間になりましたが、その間、さぼり癖のある私でも最後まで楽しく
通院することが出来ました。それも、院長先生、スタッフの方々に親切にして頂
いたからだと、とても感謝しております!!おかげ様で、白くキレイな歯にして頂き、
大満足しています。・・・チョコレート好きは...なおりませんので、これからも定期的に
通わせて頂きたいなと思っております。
有難うございました!!
オールセラミッククラウン (女性/城南区)

- 治療前

- 治療後
治療を受けての感想

痛み等はなかったのですが、15~16年程、お口のケアをしたなかったので、
恐ろしい事になっているのでは...と意を決して受診しました。
前歯のブリッジ部分の歯ぐきが黒ずんで来ていたので、セラミックを入れて
頂きました。ホワイトニングもして頂き、全体的にすっきり白くなりました。
丁寧な治療をして頂きまして誠に有難うございました。
3ヶ月後のメンテナンスも、きちんと受けて老後に向けて?!歯を大切に
したいと思います!!今後とも何卒、宜しくお願い申し上げます。
オールセラミッククラウン (女性/南区)

- 治療前

- 治療後
治療を受けての感想

前歯が折れてしまい、困っていたところ、
美しく歯をつくっていただきました。
子どもがまだ小さいので子連れでの治療でしたが
受付のスタッフの皆様歯科衛生士の皆様、先生方と
子どもの相手をしてくださり、有りがたかったです。
心から感謝しています。
オールセラミッククラウン (女性/博多区)

- 治療前

- 治療後
治療を受けての感想

思わぬアクシデントで前歯が折れてしまい、すごく落ち込んでいたのですが、
新しくキレイな歯に生まれかわったみたいで、今では嫌な思いは全くなくて、
折れたことが笑い話になりました。
オールセラミッククラウン (女性/南区)

- 治療前

- 治療後
治療を受けての感想

歯を打ってからなかなか痛みがひかず
長期間の治療でしたが、丁寧に治療して
頂きありがとうございました。
安心して治療が出来たのも、わかりやすい治療の
説明があったからだと思います。
オールセラミックにしてよかったです。
ありがとうございました。
プレシャスMB (女性/南区)

- 治療前

- 治療後
治療を受けての感想

仕上がりがキレイで、満足しました
どうもありがとうございました
オールセラミッククラウン、グラディア (男性/南区)

- 治療前

- 治療後
治療を受けての感想

仕上りに
大変満足しております。ありがとうございます。
プレシャスMB (女性/南区)

- 治療前

- 治療後
治療を受けての感想

ていねいに治療していただいて、痛みもなく、良かったと
思います。待ち時間がほとんどなかったので、助かりました。
エステニアIN (女性/南区)

- 治療前

- 治療後
治療を受けての感想

プレシャスMB (女性/南区)

- 治療前

- 治療後
治療を受けての感想

セラミックを入れることに不安がありましたが痛みもなく
ほとんど自分の歯を変わらないので良かったと思います。
色が白なので見た目も美しいので見える部分の歯は絶対
セラミックが良いと思います。
歯は一度入れると長持ちするのでお金をかけた方が得だと思います。
オールセラミッククラウン (女性/中央区)

- 治療前

- 治療後
治療を受けての感想

妊娠して虫歯が気になり来院。毎回、治療前と治療後に治療内容等
説明して下さるので安心できました。
出産後は治療に来る時間がつくれるかわからないので思いきって
銀歯を金歯や白い歯にかえました。費用はかかりましたが、口の中の
見た目や清潔感、自分自身の満足感を得られました。産後、
おちついたら、他の歯の治療も是非お願いしたいと思っています。又、
個人的にペリオバスターを使用して歯茎の腫れがなくなり
口の中のネバネバ感も減りすごく気に入ってます。いつも丁寧に
治療して頂きありがとうございました。
オールセラミッククラウン (女性/中央区)

- 治療前

- 治療後
治療を受けての感想

とっても良かったです!!!
オールセラミックは本当の歯の様で、ずっと銀歯
がきになってたので、セラミックにして、本当に満足して
います!!!大変お世話になりました!有難うござい
ました!!!
オールセラミッククラウン (男性/太宰府市)


- 治療前

- 治療後
治療を受けての感想

前歯の重なってる所は、昔から気になっていて、虫歯に
なっているとは思っていたのですが、歯医者に対しての苦手意識
もあり、中々行動に移る事ができませんでした。
しかし、治療が終わった今、来て良かったと個々と心から思います。
これも一重に、院長先生をはじめ、スタッフ皆様の妥協なき
サービス精神の賜物だと感じています。
心から感謝の言葉を申し上げたい想いで一杯です
本当にありがとうございました。
これkらも宜しくお願い致します。
セミプレシャスMB (男性/中央区)

- 治療前

- 治療後
治療を受けての感想

・銀歯よりも違和感がない
・白い歯になったので嬉しいです
エステニアインレー (女性/南区)

- 治療前

- 治療後
治療を受けての感想

保険外で奥歯を入れて、値段にビックリしたのですが、見た目も綺れいだし、違和感もなく良かったです。
オールセラミッククラウン (女性/中央区)

- 治療前

- 治療後
治療を受けての感想

笑うとずっと気になっていた前歯がきれいになり
うれしいです。大切に使っていきたいと思います。
ラミネートベニア、オールセラミッククラウン (女性/博多区)

- 治療前

- 治療後
ラミネートベニア (女性/博多区)

- 治療前

- 治療後
治療を受けての感想

ずっと気になっていた所が簡単にきれいになって・・・早く治療していればよかったです。気分も明るくなりました。ありがとうございました。
オールセラミッククラウン (男性/西区)

- 治療前

- 治療後
治療を受けての感想

最も気になるのはやはり耐用年数と経年劣化の事だと思います。
また、今回のように義歯の根先の部分の感染等もきになりますが、アフターフォローがよさそうなので安心かと思います。
エステニアインレー (女性/中央区)

- 治療前

- 治療後
治療を受けての感想

虫歯になる前のような健康な歯のように見えてうれしいです。
オールセラミッククラウン (女性/中央区)

- 治療前

- 治療後
治療を受けての感想

とてもキレイになったのでとても嬉しく思います。前の比べて笑顔も堂々として、あまり口周りをおさえなくなりました。カガミをみてる回数も増えたと思います。ずっと悩んでいたので、もう少し早くしとけばよかったとも感じました。本当によかったです。ありがとうございました。
セミプレMB、ゴールドクラウン (女性/長崎県対馬市)

- 治療前

- 治療後
治療を受けての感想

突然、歯が取れてビックリしました。
そして、長期に渡る治療でしたが、自分の歯を残してもらい、
きれいにしていただいてありがとうございます。
今後も、歯が悪いのでまたメンテナンスをしてもらいながら
様子をみていきたいです。
院長先生、スタッフの皆様
ありがとうございました。
セラミックインレー (女性/南区)

- 治療前

- 治療後
治療を受けての感想

一度セラミックを入れたことがあるので
今回で2つ目です。
たかが見た目ですが、
日々の歯みがきのやりがいが違います。
何となくハッピーになれます。
セミプレシャスMB・ゴールドクラウン (女性/長崎県対馬市)

- 治療前

- 治療後
治療を受けての感想

突然、歯が取れてパニックでしたが、きれいにして頂き
通院するには遠くて大変なこともありましたが、ここで治してもらって良かったです・・・
歯が悪いので、またお世話になるかと思いますが、
皆様、今後もよろしくお願いします。
ありがとうございました。
エステニアインレー (女性/中央区)

- 治療前

- 治療後
治療を受けての感想

治療を終えて、画像を見たときにどこを治したのか
わからないほど差がないのに驚きました。
自費でしたので金額的には高くつきましたが、全く公開が感じられないので、よかったです。
美しい歯にしてくださりありがとうございました。
エステニアクラウン、エステニアインレー、オールセラミッククラウン、インプラント、ラミネートベニア (女性/南区)

- 治療前

- 治療後
治療を受けての感想

おかげさまでとてもキレイに治療して頂いて
とてもうれしく思っています。
人前で笑顔になるのが楽しみになりました。
本当にありがとうございました。
エステニアインレー (女性/中央区)

- 治療前

- 治療後
治療を受けての感想

銀歯じゃなくて、元々の自然に生えてる白い歯みたいになり、嬉しいです。
次回は、前歯もセラミクにしたいです。そのうち、できれば
笑って見える銀歯も変えていけたらと思いました。とても満足です☆
エステニアインレー (女性/南区)

- 治療前

- 治療後
治療を受けての感想

したの奥歯なので目立たないようにしたいと思ってたので、思ってたように白くできてうれしく思いました。本当にどこを治したかわからない仕上がりに満足です。
メタルボンド (女性)

- 治療前

- 治療後
治療を受けての感想

奥歯の虫歯の治療でかけ込み、それを機に全てきれいにする事を決意しました。せっかくきれいにすのだし、歯は一生モノ。様々な選択肢はありましたが、保険外ですがセラミックの歯でかぶせものを作っていただきました。
私は、「歯医者さんに定期的に通う」という事がすごく苦手で、今まで何度となくジプシーしてきましたが、今回、初めて最後まで通えました。笑
それは、ひとつひとつてを丁ねいに説明していただけ、納得して治療出来た事。先生、スタッフの方の素敵な笑顔で楽しい気分で通えた事が大きいです。これからも定期的に治す為ではなく、きれいをたもつ為に通います!!
メタルボンド (女性)

- 治療前

- 治療後
治療を受けての感想

ぎん歯だらけで口を開けるのがはずかしかったんですが
見た目にとてもキレイにして頂いたので、今は大きくクトを開けて笑えます(笑)
ありがとうございまいた。
エステニアクラウン (女性)

- 治療前

- 治療後
治療を受けての感想

10年近く歯医者に行ってなくて、つめ物は取れっ放し、歯石も取った事がなく、とうとう歯が痛み始めました。清潔感があり、家の近くということで、入りやすい雰囲気だったので、決めました。
10年前とは医療技術も進歩していて、わかりやすく説明していただき、満足しています。
保険外治療は確かに金銭的負担はありますが、歯がキレイになると、笑う事が恥ずかしくなくなりました。ついつい他人の歯にも目がいくようになり、自分で見えないと思っていた奥歯も見えている事に気が付きました。時間をかけて、全部白い歯にしたいです。また来院したいと思います。ありがとうございました。
エステニアインレー (女性)

- 治療前

- 治療後
治療を受けての感想

長い間歯医者から遠ざかっていたので、かぶせ物やつめ物に、いろんな種類が増えていて驚いた。
銀歯はもう嫌だなぁと思っていたところ、詳しく違いについても説明してもらったので、安心して治療できた。
以前は歯医者に通うのが苦痛だったが、みなさん感じが良く、歯石取りも楽しみなくらいになった。
いずれは、残りの銀歯も変えていきたいと思う。
エステニアインレー (女性)

- 治療前

- 治療後
治療を受けての感想

10年前に歯の治療に来ました。今まで歯医者さんに来ることが無かったぶん、とても緊張しましたが、とても明るい雰囲気にホッとしました。治療のこともカウンセリング等でくわしく説明して下さるので自分の歯の状態や必要な治療内容が分かって安心でした。
先生や助手の方(女性)がとても感じよく言葉使いや表情が優しい感じが良かったです。本当に有難うございました。
エステニアインレー (女性)

- 治療前

- 治療後
治療を受けての感想

今回部分的なセラミックの治療をして頂きました。最初はセラミックにする必要があるのか、どんあ効果があるのか、素人では分からない事ばかりですごく悩みました。そして費用面でも悩みました。そんな時、事務長様が全て解決して頂き、プライベートの悩みまで聞いて下さいました。私は29年生きて来て、本当に患者の事を考えてくれる病院に初めて出会えたと確認しました。治療だけではなく人として素敵な方にお会い出来、大変嬉しく思います。本当にありがとうございます。
セラミック治療 (女性)

- 治療前

- 治療後
治療を受けての感想

●今回の治療を受けようと思ったいきさつ
笑った時にサイドの歯が気になっていたので。
●治療を受ける前のお気持ち
金額も高そうだったのでかなり不安でした。
●治療を受けている間のお気持ち
まかせていたので安心して通う事が出来ました。
●治療が終わって、治療前と比べて、どんな変化があったか
白くなったので、とてもうれしいです。やって良かったと思いました。
●治療をを受けてみて、やって良かったと思うか?
良かったです。
●その他、良いこと、悪いこと、どんなことでも結構です。
金額が高かったのでとても不安だったのですが、何度も様子を見て頂きとても安心しました。友達にもすすめてみようと思います。
ありがとうございました。
エステニアインレー (女性)

- 治療前

- 治療後
治療を受けての感想

●今回の治療を受けようと思ったいきさつ
笑った時に、見える部分だったのでセラミックにしようと思い受診しよゆと思いました。
●治療を受ける前のお気持ち
初めてのこころみだったので楽しみでした。
●治療を受けている間のお気持ち
同上
●治療が終わって、治療前と比べて、どんな変化があったか
普通の歯とまったくかわらない感じで、感動しました!
●治療をを受けてみて、やって良かったと思うか?
断然良かったです!!
●その他、良いこと、悪いこと、どんなことでも結構です。
舌ざわりでたしかめてみても通常の歯とまったくかわらないし、何しろ笑ったら
見える部分だったので、出来あがり具合に大変満足です!
(本当、金せん的に余裕があれば、うめなきゃいけない場所は全部セラミックにしたいです。)あと、銀歯の話を伺った時に、身体の為にも、セラミックや金歯の方が良いなと感じました。
エステニアインレー (女性)

- 治療前

- 治療後
治療を受けての感想

●今回の治療を受けようと思ったいきさつ
虫歯になった為
●治療を受ける前のお気持ち
歯の色が他の歯と違わないか心配だった
●治療を受けている間のお気持ち
●治療が終わって、治療前と比べて、どんな変化があったか
きれいな歯になってよかった
●治療をを受けてみて、やって良かったと思うか?
よかった
●その他、良いこと、悪いこと、どんなことでも結構です。
エステニアインレー (男性)

- 治療前

- 治療後
治療を受けての感想

口を開けて笑うと、銀歯が見えるのが嫌だったのですが、これで気にせず、人前で笑えるようになれると思います。ありがとうございました。
エステニアインレー (女性)

- 治療前

- 治療後
治療を受けての感想

エステニアインレー (女性)

- 治療前

- 治療後
メタルボンド (男性)

- 治療前

- 治療後
治療を受けての感想

治療が終わって本当の歯以上にきれいなことにおどろきました。かみ合わせもよく、セラミック治療をうけて良かった思います。
メタルボンド (男性)

- 治療前

- 治療後
治療を受けての感想

治療を受けて、良かったと思います。値段も高い値段ではないし、口を開けた時に見える歯だったので、白い歯を入れて大変満足です。全体的に白い歯が増えたので歯ミガキも楽しくなりました。ありがとうございました。
メタルボンド (女性)

- 治療前

- 治療後
治療を受けての感想

今、既に銀歯が何本もあるので、これ以上見苦しいものは増やしたくないという気持ちで、セラミックの白いものをお願いしました。治療を受けるにあたって、費用の面や色々と相談しながら進行して頂けたので、気持ちも楽でした。
メタルボンド (女性)

- 治療前

- 治療後
治療を受けての感想

歯そう膿ろうで口臭があったので治療に来ました。
前歯も虫歯があり上のは5本治療していただき
ましたが、口もとがきれいになり喜しく思います。
ありがとうございます。歯は一生大切にしてゆきたいので、これからも良きご指導をよろしくです!
メタルボンド (女性)

- 治療前

- 治療後
治療を受けての感想

セラミック治療をどのようにするか、している際の説明がきちんとあったので良かったです。
歯みがきの正しい仕方を教えて頂いて良かったです。
ラミネートベニア (男性)

- 治療前

- 治療後
治療を受けての感想

今まで前歯にコンプレックスがあり、笑うときはいつも前歯を見せないようにしていましたが、これからは何も気にせず思いきり笑えます。
本当にありがとうございました。
セラミック治療 (女性)

- 治療前

- 治療後
治療を受けての感想

以前、治療途中だった歯の治療を続けたいと思い、またお世話になりました。自分にあった治療や、意思を優先して頂き、本当に感謝しています。医師の方々、スタッフさん皆さんが居心地の良い空間を作ってくれるので、とても楽に治療にのぞむことができています。また今度の帰省時もよろしくおねがいします。家族共々これからもお世話になります。
セラミック治療 (女性)

- 治療前

- 治療後
治療を受けての感想

前回の治療後にセラミックというのもありますという説明を受けたのがきっかけでした。以前から知っていたけれど、ちゃんと説明が聞けてよかったです。見た目もきになってたので治療を受けてよかったと思います。
ハイブリッドクラウンと接着性ブリッジ(女性/中央区)

- 治療前

- 治療後

- 治療前

- 治療後
治療を受けての感想
セラミックを入れたかったのですが、金額的に難しかったので、ハイブリッドにしました。ブリッジを架けるのに奥の歯をできるだけ削らず残してもらえて良かったです。見た目もほとんど自分の歯と変わりません。
院長のコメント
抜けている歯を入れるために、ブリッジを計画しました。見える場所なので、白い歯を希望されました。
前方の歯は、むしばが大きかったので、ハイブリッドクラウンを被せる事にしました。
後方の歯は、健康な部分が多かったので極力削らない接着性ブリッジを計画しました。
ハイブリッドクラウンとは??
合成樹脂製の材料にセラミックの微粒子(フィラー)を配合した素材です。
セラミックの様な光沢や艶はありませんが、外見的にはほとんど自分の歯と区別できません。
一般にセラミッククラウンより安価になります。
オールセラミック (女性/東区)
オールセラミッククラウンとは、普通のセラミッククラウンがセラミックの中に金属が入っているのに対してさし歯全体がセラミックでできているものです。中に金属が入っていないのでかなりの透明感を持った歯になります。

- 治療前 右の前歯が変色しています

- 治療後
治療のこだわり
セラミック治療では、型を取るときに必ず歯肉圧排を行い、精密印象剤を使用します。これにより、精密な模型が作製でき、最終的な作品の適合が向上します。

- 歯を削って型を取る前です。

- ハグキの中に糸を2本入れてハグキを開いています。

- ハグキが開いて、ハグキと歯の境目がくっきり見えます。この状態で型を取ると精密な型が取れ、ぴったりとしたかぶせ物が作れます。

- 型は変形が少ない精密印象剤(シリコーン)を使用します。写真はGC社の物ですが、現在は3M社のシリコーンを使っています。
治療を受けての感想
前歯の色が変わっているのがずっと気になっていたので気が楽になりました。
院長のコメント
患者さんの右側の歯は、昔にむし歯が大きく神経をとられていたことが原因で色が黒ずんでいました。
やはり前歯で目立つところでありますので、思いっきり笑ったりするのも難しかったかもしれません。
よりきれいな歯を入れるために、オールセラミッククラウンで土台もグラスファイバーを使っています。
白い歯で、思いっきり笑って頂きたいと思います。
セラミック治療 (男性/中央区)

- 治療前

- 治療後

- 治療前

- 治療後
治療を受けての感想
銀が多かったため、やはり白に変わりきれいになったし気持ちもかわり良かったと思います。
院長のコメント
仕事の合間でいつも忙しそうに来られていたのが印象的でした。男性の方ですが、歯を白くしたいというお気持ちが強く、できるだけ短期間で白い歯に変えることに留意して治療しました。
ラミネートベニア (女性/中央区)
美容整形でクイック矯正と呼ばれている技術です。表面にコンタクトレンズ状のセラミックを貼り付け、歯の色・形を修正します。歯を削る量が少ないので歯に優しく美しくできる技術です。

- 治療前

- 治療後
院長のコメント
怖がりの方でしたが、治療後は凄く満足して頂きました。
セラミック治療 (女性/中央区)

- 治療前

- 治療後

写真のようなシェードガイド(色見本)を患者さんに見せながら、歯の色のカウンセリングをします。
院長のコメント
前歯のセラミックの入れ替えと上の向かって右側の銀歯を白いセラミックの歯に入れ替えた症例です。綺麗な歯になり、気持ちも明るくなったそうです。
オールセラミック (男性/南区)
オールセラミッククラウンとは、普通のセラミッククラウンがセラミックの中に金属が入っているのに対してさし歯全体がセラミックでできているものです。中に金属が入っていないのでかなりの透明感を持った歯になります。

- 治療前

- 治療後

ここに秘密が!
オールセラミックの透明感を出す為には、セラミックの内部のコア(土台)の部分をファーバーコアという白い材料で作ります。通常のコアは、金属で作りますので金属の色の透過を遮断する為にセラミッククラウンの内部にオペークというセラミックを使います。ファイバーコアを使用することによって、オペークが不要になりセラミックも厚くする事ができ、綺麗な色が出せるのです。
院長のコメント
上の前歯の向かって左側2番目の歯を治療した例です。
元々セラミッククラウンが入っていたのですが、今回更にグレードアップされてオールセラミックに入れ替えられました。写真では分かりにくいところもありますが透明度の違いは明らかです?こだわりの一品といったとこです。
セラミックインレー (女性/南区)
インレーとは歯のかみ合わせの部分にむし歯ができている方に行う詰め物です。インレーの材質には、ゴールド(金)、パラジウム合金、セラミック、ハイブリッドがあります。

- 治療前

- 治療後
セラミック治療・入れ歯治療 (女性/那珂川町)

- 治療前

- 治療後

- 治療前

- 治療後
治療を受けての感想
歯が、ぼろぼろで入れ歯も痛くてはめられなかったのですが、今では何でも噛めるようになりました。
歯も綺麗になって良かったです。
院長のコメント
10年位前にきむら歯科の症例です。ご高齢で元々入れ歯をされておられたのですが、合わずに食事に不自由と言うことで来院されました。
2013年8月 1日 « トップへ » 2013年8月 5日





歯を削る量が少ないので、歯にやさしく、簡単に白い歯を手に入れられます。写真の指の先に載っているのが、左側がラミネートベニア 右側がソフトコンタクトレンズです。ラミネートの薄さが分かりますね。




























