2013年7月29日 « トップへ » 2013年8月 2日
2013年8月 1日
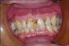
クリーニング (男性/中央区)

- 治療前

- 治療後
治療を受けての感想

今までがなんだったんだ!という位キレイになってびっくりしました。
タバコをやめて約1年半。この状態をキープ出来るように、この写真を目に焼き付けておきたい!
そんな風に思った次第です。
ドリームクリーニング (女性/南区)

- 治療前

- 治療後
治療を受けての感想

院内の雰囲気が明るくて通院しやすかったです。
説明もしっかりして頂いたので安心して治療を受ける事ができました。歯のクリーニングをしてもらいさっぱりしたので歯磨きをしっかりしてキープしていこうと思います。
ドリームクリーニング (女性/中央区)

- 治療前

- 治療後
治療を受けての感想

集中的に治療していただき長期間かかるだろうと覚悟していたのでとてもたすかりました。
材料の説明も分かりやすく、これを機にメンテナンスも大切さも実感しました。とても新設に対応していただき、ありがとうございます。
ドリームクリーニング (女性/中央区)

- 治療前

- 治療後
治療を受けての感想

一時保育ができる施設が同じビル内にあるので、こちらを受診しました。
毎回ていねいに診てもらえて、歯もスッキリです。
歯ブラシの圧力がつい強かったり、特に順番きめずにブラッシングしてたりだったので、なるべく意識していきます。
クリーニング (男性/中央区)

- 治療前

- 治療後
治療を受けての感想

ヘビースモーカーなので、ヤニが気になっていました。
今回クリーニングをしましたが、すごくキレイになり大変嬉しく思います。
煙草はやめられそうにないので、定期的に通い、キレイな歯をキープしたいと思います。
ありがとうございます。
クリーニング (女性/南区)

- 治療前

- 治療後
治療を受けての感想

歯の治療だけでなく、クリーニングまでして頂けて、とてもよかった。今までは治療終了で、歯医者さん離れをしてしまい、その後また虫歯ができてしまうという状況だったけど、定期検診も予定されていて、とても安心感がある。
そしてこれからはもっと歯を大事にしていこうと思えた。ありがとうございました。
クリーニング (男性/南区)

- 治療前

- 治療後
治療を受けての感想

通常であれば気づかなかった汚れ(歯の裏側、前の上・下)におどろき、●●●●●ありました。本日、クリーニングを受け見事に汚れがとれ、気分も非常に良く、満足しています。
メンテナンスに気を留め、自身の歯を大切にしてゆきたいと、改めて思う節目となりました。ありがとうございます。
クリーニング (女性/南区)

- 治療前

- 治療後
治療を受けての感想

気になる所を中心にみがいて頂いたので良かったです。
溝の部分も、取れたら、もっと良いのですが、頑張って歯みがきします。
今までで、一番、口を開けておく時間が長かったですが、丁寧に行って頂けていると思いました。痛みはありませんでした。
クリーニング (男性/南区)

- 治療前

- 治療後
治療を受けての感想

歯がスッキリとしました。自分に自信が持てたと思います。笑顔を見せても、相手に不快を与えない、そんな感じの自信です。
診療内容も、しっかりと説明していただき、beforeとafterの違いも良くわかりました。
ありがとうございました。
クリーニング (女性/中央区)

- 治療前

- 治療後
治療を受けての感想

前歯に茶色い着色があったのが、すごく気になっていたのですが、クリーニングをしていただいて鏡を見たら着色もなくなっていたし、歯全体が白くなり、とても満足です。
本当に着色が消えるのか少し不安はありましたが、説明も丁寧でしたし、安心して受けることができました。
クリーニング (男性/南区)

- 治療前

- 治療後
治療を受けての感想

タバコを禁煙した事から歯をきれいにしようと思いクリーニングをお願いしました。
やっぱり歯からヤニがなくなると気持ちいいものですね。
ありがとうございます。
クリーニング (男性/中央区)

- 治療前

- 治療後
治療を受けての感想

歯周病菌の治療を薬で行うと聞いて、少々おどろきましたが、受けて見て、口臭やねばねば感がおどろくほど改善され、毎日かいてきにすごせています。
ぜひメンテナンスも行っていきたいと思います。
クリーニング (女性/中央区)

- 治療前

- 治療後
治療を受けての感想

歯がツルツルになり、茶しぶが取れて良かったです。
歯の色が黄色なのが元の私の歯の色だということも分かりました。親切に私の疑問も聞き出して、解答して頂き、とても為になりました。
クリーニング (男性)

- 治療前

- 治療後
治療を受けての感想

放ったままの虫歯が急に痛み出し、インターネットで探して来院しました。
これまでの歯医者のイメージを根本から変える雰囲気作りに驚きました。
通院が苦痛に感じる事が多いのが普通だと思うのですが、歯医者に"楽しく"(?)通院出来るのはめずらしい体験でした。ありがとうございました。
クリーニング (女性)

- 治療前

- 治療後
治療を受けての感想

今回ドリーム歯科を選んだのは、自宅から近く、きれいそうだなと思ったのがきっかけでした。銀歯がとれて、すぐ治療したくてここに通いました。今までの歯科は説明が少なかったり、聞きたいことがあってもなかなか聞きづらかったりでしたら、すごく丁寧に説明して納得して治療をうけることができました。治療後、歯のクリーニングも希望しました。治療前は、そこまで白くならないはずだと内心思っていましたが、終わった後、画像を見せてくれて、クリーニングして良かったと大満足しました。本当にここまできれいになるんだと驚きでいっぱいでした。歯科の怖さがまったくなく、親切なスタッフさんばかりで、治療も安心して任せることができました。ありがとうございました。
クリーニング (女性)

- 治療前

- 治療後
治療を受けての感想

1時間とのことでしたらあっという間にすぎてしまいました。
ミガキ粉?が毎回おいしい味がして不快な事もなく、やってもらってよかったと思います。最後のフッ素の後、うがいができない事だけ少し気になりましたが、おいしい味でしたのでこれも問題ありませんでした。
歯の黄ばみが以前から気になっていたので、写真をとってもらう事で、受けようという気持ちになり、行った後は、うれしい気持ちです。ありがとうございました。
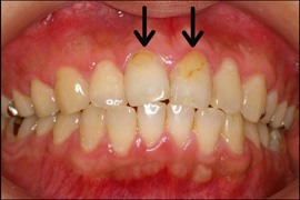
クリーニング (男性/中央区)

- 治療前

- 治療後
治療を受けての感想
前との違いにビックリしました。ていねいで感動しました。また お願いします。
院長のコメント
タバコによる着色が取れてすっきりされた方です。クリーニングは、できるだけ歯を傷めずにする必要があります。当院では、クリーニング毎に、3~4種類の研磨剤を使って磨いて落とすようにしています。最終研磨剤はかなりの微粒子ですので、歯がツルツルになりツヤがでたと喜ばれていました。
クリーニング (女性/南区)

- 治療前

- 治療後
クリーニング (女性)

- 治療前

- 治療後
治療を受けての感想

十分な説明があり安心して治療を受けることができました。治療中の気遣いもうれしかったです。ほんとんど痛みを感じなかったことには感動。
クリーニング (女性)

- 治療前

- 治療後
治療を受けての感想

もともと歯が黄いろいのが気になっていたので他の治療と一緒にこの際うけてみようと思いました。とても気持ちよく、ついうとうと(ほんとにすみません 汗)してしまい、いつのまにかきれいになっていたのでビックリです。ありがとうございました。
クリーニング (男性)

- 治療前

- 治療後
治療を受けての感想

治療前と治療後の自分の歯を写真を用いて説明してくれるので、非常に判りやすい。
写真を用いての説明は今までの歯医者では体験した事がなかったので、ドリームクリーニングを受けた事がない人には、是非受けて欲しい。
グラディア (男性/筑紫郡)

- 治療前

- 治療後
治療を受けての感想

普通の歯と同じ様な色・材質で見かけが良い。
グラディア (男性/中央区)

- 治療前

- 治療後
治療を受けての感想

きれいになってしっかりとした感じがしました。
時間もはやく、すばやくきれいになってました
グラディア (男性/中央区)

- 治療前

- 治療後
治療を受けての感想

気にならないぐらい色が自然になった。
とても満足です。
グラディア (男性/中央区)

- 治療前

- 治療後
治療を受けての感想

長い間気になっていた所が短時間でキレイになって
すごく嬉しく思います。心までキレイになった様です(笑)
ただ埋められただけでなく、美しく、どこを埋めたのかわからない
レベルの修復でもあり本当に感動しています。
ありがとうございました。
グラディア (男性/中央区)

- 治療前

- 治療後
治療を受けての感想

短時間で丁寧な治療に感謝しています。
まったく痛みもなく、スムーズに完了しました。
担当医の方の対応も感じがよく
安心して治療を受けられました。
グラディアとオールセラミッククラウン (男性/博多区)

- 治療前

- 治療後
治療を受けての感想

歯が折れた時はどうなるかと思いましたが、
折れる歯と同じどころか、それ以上きれいに
仕上げていただいて驚いています。
他の人に見せても分からないくらいで
本当にありがとうございました。
グラディア (女性/中央区)

- 治療前

- 治療後
治療を受けての感想

私の場合歯ならびはさほど悪くないのに、虫歯治療の
後がすぐ黒ずんでしまってコンプレックスでした。
何度もつめ直しをしたのですが、同じ事のくり返しで
もう歯をけずってべニアを貼るしかないのかな~って思っていた
ところ、今回の方法をおしえて頂き、健康な歯を
けずる事をためらっていた私にはピッタリでした。
自分の歯と同じ色で出来上がってとても喜んでます。
グラディア (女性/南区)

- 治療前

- 治療後
治療を受けての感想

上の前歯6本をキレイに治して頂きました。
一日で終わり、治療後鏡を見て感激しました。
今後はムシ歯にならないようケアして歯を大切に
したいと思います。
グラディア (女性)

- 治療前

- 治療後
治療を受けての感想

前歯の見えるところだったので、すごく気にしてたんですが、キレイに
してもらい良かった。イタくないように麻すいをしてもらったんで
全然いたくなかったし、鏡で見てキレイにいわかんなくなってた
んで、良かったし嬉しいです。ありがとうございました。
グラディア (女性)

- 治療前

- 治療後
治療を受けての感想

とても自然な仕上がりで、違和感がなかった
ので、セラミック治療を受けてみて良かったです。
グラディア (男性)

- 治療前

- 治療後
治療を受けての感想

ずっと気になっていた大部分なので、治療を受けて良かった。
とても丁寧に治療して頂き、満足しています。
グラディア (女性)

- 治療前

- 治療後
治療を受けての感想

前歯のつめ物をとって入れかえるということが怖くて
あまり何回もやりたくないと思っていたところこの治療を
教えて頂いてぜひやってみようと思いました。治療も全然
痛くなくて思わずうとうとしてしまいました(笑)すみません
思った以上のキレイな仕上がりでよかったです。
グラディア (女性)

- 治療前

- 治療後
治療を受けての感想

つめものが黄色くなっていたことに気が付いてなかったので、言われてすごく気になり
だしました。早く白くしたかったので今の気持ちは嬉しいです。つめものを外す前が
緊張しました。ほとんど痛くなかったので安心しました。もう少しお値段が安くなったら
いいなあと思います。すみません治療をして頂きありがとうございました。
グラディア (女性)

- 治療前

- 治療後
治療を受けての感想

前歯は特に目立つので少しでも白くなればと思いました
治療もあっという間でしたので虫歯も目立なく良かったと思いました
グラディア (女性)

- 治療前

- 治療後
治療を受けての感想

歯のつめ物がだいぶ前から気になっていましたが、今回この治療を受けてみて
自分の歯ではないくらいすごくきれいになったので、とてもうれしいです!!
これからはこのままキープ出来るように歯磨きを頑張ります!!
グラディア (女性)

- 治療前

- 治療後
治療を受けての感想

初めての治療でしたが最初から最後まで院長先生からスタッフ全ての方
たちが優しく笑顔で気持ちよく接して説明までして下さり苦痛なく
通えました
歯もきれいになり嬉しい限りです
ありがとうございました
コーヌスデンチャー(入れ歯) (女性/太宰府市)

- 治療前

- 治療後
治療を受けての感想

自分の歯と違ってなかなかなじめなかったけど今は入れ歯にしてよかったと思っています
根が折れた症例 (男性/博多区)

- 治療前

- 治療後
治療を受けての感想

他の歯医者で抜くしかないと言われた歯が保存できたこと。
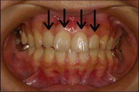
全体的に治療した症例 (男性/中央区)



院長のコメント
この患者さんは、お口全体を治療させていただきました。まず治療前の写真を見ていただくと全体的に歯ぐきが腫れているのがわかるかと思いますが、歯周病の問題がありましたので歯周病治療を行いました。治療後は、歯ぐきの腫れも良くなっています。
歯周病が落ち着いたあとに、むし歯治療を行っています。
上の歯の向かって左の小臼歯は、むし歯が深く神経に達していましたので、根管治療後、かぶせる処置をしました。(セラミッククラウン)その他のむし歯は、C2の段階でしたので、患者さんと相談して奥の大臼歯は耐久性重視でゴールドインレーを、手前の小臼歯は審美性重視で歯と同じ白い色のセラミックインレーを詰めました。
ホワイトニング (女性/中央区)

- 治療前

- 治療後
治療を受けての感想

術前はかなり着色があり、黄ばみが強く感じられていましたが、術後はトーンが明るくなったように感じました。お茶を飲む機会が多いので、今後も時々クリーニングやホワイトニングを受けたいと思います。
ホワイトニング (女性/南区)

- 治療前

- 治療後
治療を受けての感想

クリーニングとホワイトニングをして頂きました。
施術前も後も丁寧な説明や気持ちも察して下さり
初めてだったのですが、とても気持ち良く通う事ができました。
意外とホワイトニングが私の場合はしみてしまい、途中くじけ
そうでしたが、そばについていて下さり、すぐに対応してもらえてホッと
できました。歯は丈夫ならそれでいいと思ってましたが、白さが
あるとより歯に自信がもてるなと実感しました。
ありがとうございました♡
ホワイトニング (女性/南区)

- 治療前

- 治療後
治療を受けての感想

白くなってとても嬉しいです♪ でも痛みとの戦いでした。。。
痛いは一時、美は永遠(ではありませんが、半年くらい?)と思って頑張りました。
これからも定期的にお手入れしたいと思います。
スタッフの皆さん、応援ありがとうございました。今後とも宜しくお願い致します♡
ホワイトニング (男性/南区)

- 治療前

- 治療後
治療を受けての感想

初診時からデジカメの画像を使い、説明がとてもわかり
易かったです。また診察時間も融通が利くので何か急用
が入っても対応が出来とても助かりました。
アフターサービスもあるようなので今後も歯のケアをして頂き
たいです。
ホワイトニング (女性/中央区)

- 治療前

- 治療後
治療を受けての感想

色の変化が画像でみるとよくわかりました。
以前は気になっていた色も、白くなる実感があってうれしかったです。今後も、きちんとメンテナンスをしていこうと思います。
ホワイトニング (女性)

- 治療前

- 治療後
ホワイトニング (女性)

- 治療前

- 治療後
治療を受けての感想

丁寧な治療でまた受けたいと思います。
ホワイトニング (女性)

- 治療前

- 治療後
治療を受けての感想

3回通してキレイになって良かったです
ホワイトニング (女性)

- 治療前

- 治療後
治療を受けての感想

ていねいな対応、処置で良かったと思います。
ホワイトニング (女性)

- 治療前

- 治療後
治療を受けての感想

思っていたよりも成果があり、うれしいです。
ホワイトニング中は眠かったです。
口を開けて笑っても、白い歯だと平気ですね!!
白くなった歯がまた黄色にならないように、
正しく歯みがき頑張ります。
ホワイトニング (女性)

- 治療前

- 治療後
治療を受けての感想

以前から、やってみたかったので試しでしたが
スッキリしました。
笑顔に自信が持てますね。
ホワイトニング (女性)

- 治療前

- 治療後
治療を受けての感想

以前に比べてとても白くなっていて大満足です。
結婚式で笑顔で白い歯で写真がとれそうです!!
ありがとうございました^▽^
ホワイトニング (女性)

- 治療前

- 治療後
治療を受けての感想

痛みもなくあっという間にホワイトニングが
終わったのでびっくりしました。
矯正 (女性/中央区)

- 治療前

- 治療後
治療を受けての感想

コップがよかった
ていねいだった(優しかった)
室内がキレイ
矯正 (女性/中央区)

- 治療前

- 治療後
治療を受けての感想

短期間で終了できて本当に驚いています。
もっと早く来ていたら良かったです。とても満足しています。
院長先生はじめ、スタッフのみなさんの対応がとても心地良く素敵だなと思ってました。
知り合いにもオススメしたい歯医者さんです。
ありがとうございました。
矯正 (男性/中央区)

- 2月24日

- 4月23日

- 6月12日
治療を受けての感想

最初はなれなくて、食べにくかったり口にひっかかったり痛い時もあったけど、抜いてから間がなくなるまで、結構成果が分かりやすく、狭くなっている感じがしてよかったです。
院長のコメント
中学生の患者さんで、下の前歯の叢生(でこぼこ)が気になり、治療を始められました。まっすぐ並べる為に歯を1本抜くことになりましたが、治療始めで4か月弱で終了することができました。綺麗な歯並びになり、歯みがきもしっかりできるようになりました。
矯正 (女性/南区)

- 治療前

- 治療後
治療を受けての感想

この度は誠にありがとうございました。
南区へ引っ越してくる前にかかっていた歯科医院さん(たいへんお世話になったのですが...)娘は歯科医院さんがとても苦手で、親としても苦労しておりました。引っ越しとともにドリーム歯科様にお世話になるようになってから娘の「歯いしゃさんきらい、いや!」という気持ちが一変!?
楽しくワクワクして通院するようになりました。毎月checkしていただく際も「良くなってるよ」「かんばったね」と優しく認めて下さる院長先生、諸先生そしてスタッフの皆様の言葉に、やる気UPで自ら装置(?!)も口腔内に入れる前向きさでした。お陰様で短期間でよくなりました。
親としてドリーム歯科さんにはある意味、驚かさせていただく事ばかりでした。
病院、歯いしゃさんですの概念がくつがえされました。主人共々感謝の気持ちと共に、どうしてあんなに笑顔で仕事ができるのだろう仕事ができるのだとろう?!どんな社員教育をしているのだろう?!なんて志が高いんだろう!!と大人目線(?!)で感心しまくっておりました。
一個人として院長先生、奥様はじめ皆さんの対応に学ばせていただきました。
本当に楽しみながら心地よく治療していただきました。 ありがとうございました。
矯正 (女性/南区)

- 治療前

- 治療後
治療を受けての感想

私の歯も下の歯もならびが悪くて私は気にしていなかったのですが、母にすすめられてしょうがなくという感じではじめました。
食べ物が歯につまったり、写真などで気になったりはしましたが、その分確実にキレイになっていったのでがんばれました。
しょうがなくはじめたきょうせいも今はやってよかったとすごく思います。
歯みがきしやすくなったし、思いきり笑えるし、私はきょうせいをおすすめします。
8月1日 8月になりました!

福岡市 中央区 平尾 ドリーム歯科のニュースです。
8月になりました。花火大会や海水浴、プールにキャンプなどイベントが盛りだくさん。
そんな夏休みの中で、時間を割いて歯医者に来てくれるお子さんたちもたくさんいらっしゃいます。
せっかくなので、これも夏休みの思い出にしちゃいましょう!ということで、明日からしばらくの間、検診や治療で来られたお子さんの思い出の写真を撮ってプレゼントしようと思います。絵日記のネタにもなる...かも!?お楽しみに。
矯正 (男性/城南区)

- 治療前

- 治療後
院長のコメント
前歯が出ているのを気にして矯正治療を始められました。
歯を引っ込める場所を作る為に、上の小臼歯を抜歯しての治療になりましたが、奇麗な歯並びになりました。
矯正 (女性/城南区)

- 治療前

- 治療中

- 治療後
治療を受けての感想

奥歯の移動の矯正時にインプラントを入れてもらいました。
治療は1年くらいかかかると聞いていましたが、ぴったり1年で終わってよかったです。
治療中は口内写真などできちんと説明してもらいわかりやすかったです。
治療前よりかみ合わせがよくなったように思います。ありがとうございました。
矯正 (女性)

- 治療前

- 治療後
治療を受けての感想

以前仕事をしていた為なかなか矯正治療をしたくてもタイミングが合わずできなかったのですが、仕事を辞めたのを期に始めてみようと思いました。ずっとコンプレックスだった歯並びが毎日少しずつ変化していくのがとてもうれしくて治療期間もあっという間にすぎていった気がします。
心なしか頭痛持ちだったのですがそれも良くなってきた様な気がします。
思いきって矯正治療を受けて良かったと思います。
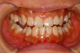
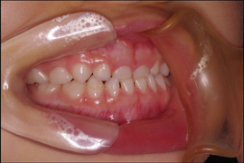
歯周病 (女性/中央区)

- 治療前

- 治療後
治療を受けての感想

とても丁寧に治療して頂いてありがとうございます。
仕上がりもキレイにして頂いたので、毎日のハミガキで維持していきたいと思います。
ありがとうございました。
インプラント (女性)
奥から2番目を抜かれており、ブリッジが入っていました。ブリッジは、土台となる前後の歯が弱りやすいので、奥から2番目にインプラントを入れました。

- 治療前

- 治療後
治療でのこだわり
奥から2番目の大臼歯の手術でしたので、インプラントも直径が大きいワイドネックインプラントを採用しました。それにより、立ち上がりも自然な形態を作ることが出来ました。上部構造(かぶせる材料)は、セラミッククラウンになっています。一番奥の歯は、耐久性を考えてゴールドクラウンを入れております。

- 治療前、右側の奥歯

- インプラントを入れた状態

- レントゲン写真

- 歯を入れた状態
治療を受けての感想
顎の骨に歯の根を埋め込む手術ということで、本当に大丈夫なのかと心配しましたが、説明を受けた後、「やってみると抜歯と同じで大丈夫です。みなさん喜ばれています。」のとおりで、術後に多少痛みはありましたが心配するほどではなかったです。この歯もですが、他の歯もいつまでも今のままであるように歯磨きなどケアを気をつけていきたいと思います。
先生をはじめスタッフの方々ありがとうございました。
院長のコメント
患者さんは、左上の奥から2番目を以前抜歯されて、ブリッジを入れておられましたが、抜いた前後の歯の根の先に膿がたまっており、痛みを訴えられていました。前後の歯はブリッジの土台として使うと無理がかかり、歯の寿命を縮めてしまう結果になりますので、インプラントを計画しました。
インプラント (女性/早良区)

- 治療前

- 治療後
治療を受けての感想
何年も片方の歯で噛んでいたので両方で噛めるようになって固いものも噛めるようになりインプラント治療をして良かったと思います。
院長のコメント
遠くから来院されて来られた患者さんでした。歯周病の問題があったので(治療前写真を良く見ると前歯のハグキが腫れています。)インプラント治療をする前に歯周病もしっかり治療されたので期間は掛かりましたが、お口全体の健康度もかなり向上されました。
これから何でも固いものを食べられ、より健康になられる事と思います。
インプラント (女性/中央区)

- 治療中

- 治療後
治療を受けての感想

インプラント手術は思ったほど大変ではなく、設備の整った信頼できる歯科で施術を受ければ問題ないことがわかりました。
インプラント (男性/南区)

- 治療前

- 治療後
治療を受けての感想

丁寧に治療して頂いてありがとうございました。今のところ全く問題などなく良いのではと思っております。確かに全額は安くはないですが、その分、良い治療とその後のフォローをしてもらえるのであれば、充分に満足できるものではないかと思います。何かあった時は宜しくお願いします。ありがとうございました。
インプラント A.I様 (男性/中央区)

- 治療前

- 治療中

- 治療後
治療を受けての感想

ていねいな対応に大変満足しております。他の人へも紹介したいです。
インプラント (女性/中央区)

- 治療前

- 治療後
治療を受けての感想

歯の治療は、ずっと吐気が伴なうので苦手でした。今回インプラントは、より時間がかかるので気になりましたが、治療中の言葉のフォローや痛みや吐気に対して敏感に思いやりを持って接して頂き助かりました。インプラントの説明や、その時々の処置のきめ細い対応等良かったです。院長先生は温和で(吐きそうな時は待ってて頂きました)ていねいな治療でしたので、思ったより(歯の治療は嫌なので)時間はかかりましたがスムーズに通う事ができました。ありがとうございました。
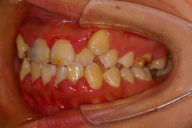
インプラント、オールセラミッククラウン、プレシャスMB (女性/南区)

- 治療前

- 治療後

治療を受けての感想

長い月日を掛け、この度、治療を終えることが出来ました。スタッフの皆様、本当にありがとうございました。
実は、最初に治療を始めようと思った時、とてもとても勇気が要りました。痛みよりも「なぜここまで放置していたのか」とか「汚い」とか言われるのが怖くて、なかなか歯医者さんに行けないまま年月が経ってしまい、更に悪化という状態でした。でも、ある時このままではいけないと思って、歯医者を探しました。
福岡は歯医者さんが多く迷いましたが、治療が長く掛かることは分かっていましたので、①自宅近いこと②会社帰りでも通えるところ③評判がいいところを基準としてドリーム歯科クリニックに決めました。
最初に予約した時、受付の女性の対応がとても良く。また来院した際もその方が優しく接して下さり、人に見られたくないという希望を伝えていたので個室を用意して下さっていました。その日は治療は無く、カウンセリングのみでした。
とても緊張していましたが、「話したいことだけ話して下さい。」という感じでカウンセリングをして下さったので(と、思います)、だんだんリラックス出来て帰る頃には、「最後まで頑張って治療しよう!」という気持ちになりました。
翌週から治療が始まりましたが、治療本数が多かったので、集中的に予約を取って頂いたり、予定に合わせて治療計画を立て直してもらいました。
抜かないといけないかもしれないと言われた歯がありましたが、試行錯誤して頂いた結果、矯正して歯の根っこを引っ張り出した結果、抜かなくて良くなかったことは、とても嬉しかったです。矯正期間は正直辛かったですが、『キレイ(な歯)に向かっている!』と思ったら頑張れました。
最終段階では、ホワイトニングまで出来ることになり、今では「歯がキレイで羨ましい」と言われるようになりました!長年のコンプレックスだったのに!?これには本人が一番驚いています。
悩んだことのない人には分からない気持ちだと思いますが、『口元を隠さず、自然に笑える』ということはとても重要です。私を同じような気持ちの人が居たら、まずは頑張ってカウンセリングだけでも受けて欲しいなぁと思います。
スタッフの皆様、患者さん達の治療だけでなく、研修や休憩時間を削っての勉強会で日々レベルアップを目指して下さり、ありがとうございます。ずっと通っているだけに、事務長に厳しいことを言われる場面も拝見したことがあります...。
今後も定期健診でお世話になります。ついでに近況報告もしますので、担当になった方は、ヨロシクお願いします(^∇^)/
インプラント (男性/早良区)

- 治療前

- 治療後
治療を受けての感想

インプラント治療が無事完了できて大変良かったです。今後も、メンテナンスを十分行なっていきたいと思います。
インプラント (男性/中央区)

- 治療前

- 治療中

- 治療後
治療を受けての感想

最初はインプラントの事がよく分からず不安だったが分かりやすく説明してもらって安心して治療を受けれました。インプラントをして、歯の大切がよく分かりました。
インプラント (女性/南区)

- 治療前

- 治療後
治療を受けての感想

子供の頃に行った歯科医院でトラウマになり、歯科医院に通うことができなくなっていました。結婚し、妊娠、出産を考えるようになり、放置していた虫歯の治療を決意。今度は安心して最後まで通えるよう、インターネットで自宅近くで雰囲気の良い医院を探して予約の電話をしました。受付の方や最初にみていただいた先生がとても優しく丁寧に対応してくだって、カウンセリングで予算や治療期間等、細かく確認してくださったので、2、3回目からは緊張もやわらいで通うのが楽しみになっていきました。インプラントはインターネットで調べると、良い事も悪い事も書かれていて不安でしたが、院長先生も事前にしっかりカウンセリングしていただいて、ドリーム歯科を選んで本当に良かったと思っています。長い間本当にお世話になりました。ありがとうございました。
インプラント (女性/南区)

- 治療前

- 治療後

治療を受けての感想

心配でしたが、無事に終わり安心してます。痛みもなく良かったです。ありがとうございました。
インプラント (女性/南区)

- 治療中

- 治療後

治療を受けての感想

一番奥の下の歯にインプラントを入れることによって、かむ力がとても強くなった様に感じます。インプラント治療の日は少し緊張しましたが、当日の痛みもほとんどなく案ずるより産むが安しという感じでした。
インプラント (女性/中央区)

- 治療前

- 治療後

治療を受けての感想

手術は不安でしたが先生はじめ皆さんに優しくして頂き、安心して受けることができました。ありがとうございました。
インプラント (女性/南区)

- 治療前

- 治療後

治療を受けての感想

最初はとても不安で仕方ありませんでしたが、ていねいな説明で安心して治療できました。痛みもほとんどなくて簡単に終わったのにはびっくりしました。
院長のコメント
下の大臼歯のインプラントです。十分骨が残っていましたので、大臼歯にあった大きいサイズのインプラントを入れることができました。(WNI 10ミリ)仕上がりも自然な感じです。
インプラント (女性/中央区)

- 治療前

- 治療後

治療を受けての感想

インプラントして大変満足しています。以前は食べるのも苦労してましたが、インプラント後は食事もおいしく頂いてます。
治療は1年かかりましたが来て良かったと思っております。ありがとうございました。
院長のコメント
左の下側に3本のインプラントを入れました。上の歯が部分入れ歯で不自由を感じておられましたので、下の歯に固定式のインプラントが入り、満足されました。上の入れ歯も作りなおし、きれいになりました。
インプラント (女性/早良区)

- 治療前

- 治療中

- 治療後

治療を受けての感想

今回インプラントを入れましたが義歯と違い、違和感がないし見た目も美しいし自分の口にフィットし助かっております。又、かめる実感を味わっていきたいと思います。
インプラント (男性/早良区)

- 治療前

- 治療中

- 治療後

治療を受けての感想

インプラントして違和感なく食事とか出来て、大変良かったです。
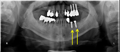
インプラント (女性/中央区)

- 治療前

- 治療中

- 治療後



治療を受けての感想

歯のトラブルが多く、そのくせ歯医者を苦手にしていた私が、ドリーム歯科に通うようになり、今回、インプラントの手術をして本当に良かったと思っています。歯の悪くなっている所って正直知るのが怖いというのもありますが、先生にわかりやすく説明していただき、治療の方法も親身になってアドバイスや提案してもらい、インプラントも本当はもっと早くしたかったですが、今回決心してよかったです。手術から歯が入るまでの半年は少し不安もありましたが、歯がちゃんと入って嬉しかったです。まだ治療したい所も残っているので、またがんばってドリームに通おうと思います。
受付の方々(歯科助手の方々)もいつも明るく接していただき本当にありがとうございます。
院長のコメント
レントゲン写真で分かるようにインプラントを入れる場所は、上顎洞底が降りてきておりインプラントをいれる骨がありませんでしたので、ソケットリフトを行なっています。通常ソケットリフトは骨が7ミリ以上有る場合に行い、それ以上骨が薄くなっている場合は、少し大きな手術のサイナスリフトを行って上顎洞床に骨を作るのですが、チャレンジケースになりますが、患者さんの体の負担を考えてソケットリフトで大幅に骨を作りました。
インプラント (男性/中央区)

- 治療前


- 治療後

治療を受けての感想

最初多少とまどいがあったが、入れてみると自分の歯と変わらずつかえるのですごくまんぞくしている。
院長のコメント
奥歯が事故で折れた為に、抜歯になってしまいインプラントを希望されました。
上顎洞という空洞が降りてきており、インプラントを入れる骨の量が足りなかったのでソケットリフトを行って、インプラントを入れています。
インプラント (男性/粕屋郡)

- 治療前

- 治療後

治療を受けての感想

ボルトのようなものを入れると聞いていたため、いたみを伴うと考えていましたが、術後もいたみはほとんどなく、普通の歯と同じような感覚でおどろいています。かみ合わせも問題なく、新しい歯が出てきた感じがしています。
院長のコメント
顎の骨幅が充分だったのでワイドタイプの大きいインプラントを入れています。インプラント以外の治療法だとブリッジを入れることになり、前後の歯に無理を掛ける所でしたが、インプラントを希望されて良かったです。前の歯はハイブリッドの白い歯に奥の歯は、ゴールドクラウンになりました。
インプラント (女性/南区) 左上は、抜歯即時インプラント

- 治療前

- 治療後

治療を受けての感想

インプラントの説明を聞く迄は、怖さで一杯でしたが思った程、苦痛が少く、歯科は痛い所という考えが一変しました。鏡で見て白い歯が気持良く並んでいるので、とても気分爽快です。有難うございました。今後共宜しくお願いします。
院長のコメント
右の上に2本 左の上に1本のインプラントを入れています。最初インプラントは、怖いと言われておられたので、左上の1本は抜歯予定の歯を抜くと同時にインプラントをいれました。(抜歯即時インプラント)1回で処置が済み、とても喜ばれていました。
左上の奥歯は、インプラント以外だと取り外しの入れ歯になってしまうところですが、しっかりしたインプラントを希望されたので、良かったです。奥にしっかりした支えができたので、他の歯も長持ちすることになります。
インプラント (女性/中央区) ソケットリフト症例

- 治療前

- 治療後

治療を受けての感想

インプラント手術当日、いつもの歯の治療と変わらずの気持ちで受けました。準備される用具類が違うのは気付きましたが、なぜか緊張もせず安心してました。いつもきちんと治療してくれるドリーム歯科だからだと思います。
手術はすんなり終了、直後のレントゲンもパソコンで見せて頂きました。しばらく日が経った頃、ねじが外れた時は驚きましたが、そんな事もあると聞いて安心し、無事にインプラント治療できました。やっぱり歯は大切ですね。これからもドリーム歯科にお世話になります。
院長のコメント
上の奥歯のインプラントでしたが、この方も上顎洞が降りて来ているので、インプラントを深く入れる為に、上顎洞底を挙上してインプラントを入れています。
インプラント (男性/中央区)

- 治療前

- 治療後

治療を受けての感想

インプラントは若返りの秘訣
親知らずが抜け奥歯二本がなくなった。入れ歯か今流行のインプラントか?
迷った末、価格の安い入れ歯にしてしまった。しかし入れ歯は徐々に歯間がゆるみ、このまま経過すればグラグラして抜け、歯全体が無くなってしまい老朽現象が早まる予感がした。
方向転換し歯科医院を換え「インプラント」に切り替えた。3ヶ月間の治療の末、きれいな引き締まった歯が誕生した。インプラントにして一番感じたことは、入れ歯では味わえない、自分自身の肉体の一部・自分自身の歯である実感を一番感じた。人目を避けて取り外す必要もなく、いつも衛生的でキラキラ輝き、会話も進み、青年時代に逆戻りしたような「さわやかな若々しさ」を感じるようになった。
治療に当たってくれた「ドリーム歯科」・院長の人柄、技術もさることながら、スタッフ一同の明るい笑顔、親切さは、歯の治療に来ていることさえ忘れさせる、医院名の通り『夢』のようなひとときであった。心より感謝します。
氏名 藤末耕一郎
インプラント (女性/南区) 抜歯即時インプラント 挺出矯正処置

- 治療前

- 治療後

治療を受けての感想

昨年、詰め物をしていたところがとれてしま、他の歯医者さんに行ったところ、むし歯になっているので、げずりますと、薄く削られてしまい、かむ毎に歯が折れて、歯がなくなってしまいました。こんなことになるなら、初めから、こちらでお世話になれていたらよかったと後悔しています。むし歯だらけでしたが、一年かけて、きれいになり、口を開けて笑えるようになり、よかったなと思います。先生方にはいろいろとアドバイス頂き、子どもはむし歯なし、これからずっとお世話になりたいと思っています。
インプラント (女性)

- 治療前

- 治療中

- 治療後

治療を受けての感想

治療前は、期間や費用・経過等いろいろと不安があって施行するか迷いがありましたが、終わってしまって実際の写真を見たり、鏡を見たりすると、きれいになって、やって良かったと思いました。
ありがとうございました。
インプラント (女性/南区)

- 治療前

- 治療後

治療を受けての感想

最初は、どんなんものかあまりわからず多少の不安がありましたが
先生他スタッフの方たちのていねいな説明で不安をとりのぞかれました。
思っていた以外になんの達成感もなくびっくりするほどです。
今、2本奥にインプラントが入っていますが、普通に自分の歯のような気がします。
本当ありがとうございました。
当初、迷ってたのは何だったのかな・・・と思ってます。
インプラント (女性)

- 治療前

- 治療後

治療を受けての感想

歯は絶対に削りたくないと思ってインプラント治療を選びました。
歯科医院の選択は関係の無い遠慮なくお話しができる所と電話帳と勘でしたが我ながら大正解!と思っています。
本当にありがとうございました!そしてこれからもよろしくお願いしまぁ~す!
インプラント (男性)

- 治療前

- 治療後

治療を受けての感想

思ったよりインプラントの異和感がなくとっても良かったです。
あとは保険が少しきくようになればもっと普及すると思うのですが
スタッフの方や先生方が親切でなんとか1年続ける事が
出来ました。
インプラント (女性)

- 治療前

- 治療後

治療を受けての感想

手術前はとても不安だったのですがきちんと
説明もしていただけてなんとか決心する事ができました。
完治までに時間もかかったしお金もかかったけど
これから何十年も歯のない状態で過ごす事を考えると
今回治療ができて良かったと思います。
インプラント (男性)

- 治療前

- 治療後

治療を受けての感想

抜歯をすることになり、インターネットでブリッジ・インプラント
のメリット・デメリットを調べて耐きゅう性のあるインプラントを選びました。
治療方法は丁寧に教えてくれたので不安なく治療することができ
ました。歯がないときは話しにくかったのが、インプラント治療後
話しやすくなり助かっています。
インプラント (女性)

- 治療前

- 治療中

- 治療後

治療を受けての感想

時間は長くかかりましたが、自分の歯で食れる
様な気がするので、インプラントにして良かったと
今は思います。
インプラント (男性)

- 治療前

- 治療後

- 治療前

- 治療後

治療を受けての感想

奥歯1本と前歯1本合計2本させて頂きました。
インプラントはやはり信頼できる歯医者さんでしたかったので
院長先生を信頼してお願いさせてもらいました。
これからも長いお付き合いになると思いますが、
宜しくお願いします。
ありがとうございました。
インプラント (男性)

- 治療前

- 治療後

治療を受けての感想

手術に対して少しだけ恐怖心があったのですが
実際は一隙痛みを感じることなく終えることができました。
長時間口を開けっぱなしというのがキツかったです...。
歯を入れてからの使用感はかたいものを食べても全く
気にすることなく、自分の歯のように思えています。決して安い金額ではない
ですが「ブリッジ」よりは何部もインプラントの方が良いのではないのでしょうか。
患者さんの声
患者さんの声NO.1
患者さんの声NO.2
患者さんの声NO.3
患者さんの声NO.4
患者さんの声NO.5
患者さんの声NO.6
患者さんの声NO.7
患者さんの声NO.8
患者さんの声NO.9
患者さんの声NO.10
患者さんの声NO.11
患者さんの声NO.12
患者さんの声NO.13
患者さんの声NO.14
患者さんの声NO.15
患者さんの声NO.16
患者さんの声NO.1

スタッフが全員挨拶をよくして下さったのが嬉しかったです。病院の雰囲気が明るくて、内装もカラフルでメルヘンチックで気に入りました。待合室の横の歯磨きスペースが利用できるのが便利だと思いました!置いてあるCOMICSが幅広い年齢、性別別に合わせて揃っていて驚きました。診療の内容、進行の仕方を最初に説明して下さるのが分かりやすくて良かったです。何度も診察時間を変更する電話をかけたのですが、親切に対応して下さって嬉しかったです。

治療内容をきちんと説明して頂けたので、安心して治療を受ける事ができました。今後も歯磨きをしっかりとして、虫歯のないようにしていきたいと思います。

説明が詳しく、分かりやすかった。自分では分からない、気付いてない点を教えてもらった。(磨き方や、虫歯など)皆さん笑顔が良かった。子供の面倒を見てもらって助かりました。お忙しいのにすみませんでした。ありがとうございました。

とても分かりやすく説明していただいた所が良かった。今までは結構乱暴に治療されていたりした時もあったのでとても良かったです。定期的によろしくお願い致します。

最初にカウンセリングしてくれた草場さんがとってもかわいくて優しかったから通えました。男の先生もクリーニングの先生も丁寧だと思います。また来ます。
患者さんの声NO.2

虫歯の治療は痛いとばかり思っていたのですが、全然痛いと思わずに治療を終れたのでよかったです。院内がとてもキレイで歯医者さんのイメージが変わりました。ありがとうございます。

今までの歯科には何をされているか分からない・・・といった事がありましたが、ドリーム歯科では鏡で見せてもらったり、説明をしてもらえて良かったと思います。ドクター・スタッフ共にとても良い印象でした。子供も一緒に来れるという事はとても嬉しい事です。次は、夫に紹介したいと思います!!ありがとうございました。

歯周病で「次来たら抜歯」と言われて恐ろしくて歯科に行けなかったけど、治療も痛くなく、おどしもなく、安心して通う事が出来ました。ありがとうございました。またメンテナンスに来ます。

子供と一緒にこれるという、これが一番です。だから、なかなかこれない・・・子供がぐずぐず言った時も、嫌な顔するスタッフの人はひとりもいなかった。今までの通院(他院)で嫌だったこともしっかり聞いてくれ、信頼して任せる事が出来た。子供たちが嫌がらず来てくれる。駐車場がないのがなかなか紹介しにくい点です。

スタッフ、先生の対応がとてもよかったです。優しく、なるべく痛くないような治療をしていただけたり、私に合った治療をかんがえてくれたり、とても満足がいく治療が出来たと思います。
患者さんの声NO.3

歯医者がとても苦手だったんですが、ドリーム歯科さんにお世話になり克服できました。ありがとうございます。本当に感謝してます。スタッフの方が皆さん気にかけて頂き、嬉しかったです。スタッフの方の配慮が一番良かったです。今後ともよろしくお願い致します。

長期間に渡って、院長先生はじめとして、スタッフの皆さまには大変お世話になりありがとうございました。細かい要望などにも親切に対応頂いたので安心して通院治療することができました。また定期検診に来ますので、宜しくお願いします。

治療に対する説明を毎回丁寧にしていただいて、安心して通わせていただく事が出来ました。スタッフの方々や先生も皆さん優しく、笑顔でとても印象が良かったです。ありがとうございました。

一番最初の治療の時に、自分の歯を色んな角度から撮ってもらった事。今までそういった事をしてもらった事がなかったので、ビックリしたけど、客観的に今自分の歯がどういった状態かとても分かりやすかったので良かったです。あとスタッフの方々が、とても親切丁寧に説明していただき、とても分かりやすかったです。正直、歯医者って苦手だったんですが、ここのクリニックの雰囲気、ドクター、スタッフの方々の印象がとても良かったので、通院するのが楽しかったです。

歯の治療はとても苦手で、歯医者さんに行くのは気が重かったのですが、受付の方がとても親身になって下さったので、安心しました。お医者様の説明も時間をかけて丁寧にしていただけたので、相談しやすく良かったです。これを機に定期的に通わせて頂きたいと思います。
患者さんの声NO.4

一つ一つの過程に対して、丁寧に説明をしていただき分かり易くもあり、安心して治療に臨む事が出来た点はとても良かったです。また、先生をはじめ、スタッフの方々穏やかに対応して下さるところも大変よかったです。妹が歯医者さんを探していたので、紹介しました。きっと近々・・・来ると思いますが、宜しくお願い致します。

何度でも分かりや易く説明していただいた所。歯医者さんは怖くて何年も通っていなかったのですが、先生をはじめスタッフの皆様に明るく優しく接して頂いて、来るのが少し楽しみでした。今まで通っていた歯医者さんとは違って、材料を選ばせてくれた所に驚きました。

都度治療内容や、次以降の治療計画を丁寧に説明を受けられる事が嬉しい(安心できます)。こちら側の要望もしっかり汲み込んで頂けるのも有難い事です。全スタッフの明るさに感動します。(こんな明るい歯科はここ歯科(笑)ないでしょう)

具体的に説明を交えながら、治療をして頂いたので、かなり安心感がありました。患者として状況を把握して通院出来たので満足してます。

スタッフの人がいつも感じ良く、笑顔だったので安心感があった。メガネの髪の短い先生の治療中(歯削っている時とか)、一つ一つの作業を言葉にしてくれるので、恐怖心が安心感になりました。''高い''とか何度言っても、感じ良く、受け入れてくれたので、伝えやすかったです。
患者さんの声NO.5

治療の説明が分かりやすくて、しっかりして頂いた点がすごく良かったです。スタッフの皆さんが優しくて明るい所も良かったです。何より、私が嘔吐反射が強くて、ついでに怖がりなので、今までの歯科医院ではあまりいい顔をされなかったので、本当に親切に対応して頂いて嬉しかったです。これからも宜しくお願いします。

説明を細かくしてもらい、聞いたことにも丁寧に答えて頂いて安心して治療を受ける事が出来ました。保険内か外なのか、その内容も聞いて自分の納得する治療が出来て良かったと思います。親知らずの抜歯が歯科大学だけへの紹介というのが、少々不便だなと思いました。先生を始めスタッフの方達が笑顔で対応してくれてとてもいい歯医者さんだと思います。

説明が分かりやすかった。痛くなかった。歯医者のイメージが変わりました。これからも定期的に利用させて頂きます。ありがとうございました。スタッフさん達も気持ち良い応対でした。ここを選んで良かったです。

治療もあまり痛くなくて助かります。歯磨きの方法とかも教えてもらえたのでお家で実践してます。ありがとうございます。

受付の中村さんの笑顔がとっても可愛くて優しく話しかけて下さったので、嬉しかったです。歯科の怖いイメージがほぐれました。ありがとうございました。先生も、他のスタッフの方も、皆さん優しくて丁寧な説明で質問にも分かりやすく答えて下さって助かりました。ありがとうございました。
患者さんの声NO.6

まず内装がきれいで、スタッフの方も明るくて毎日来るのが楽しみでした。口内の写真や歯周ポケットも計った事がなく、自分の歯の状態を知ることができて良かったです。歯医者は苦手だったけど、ここなら続けてきたいと思いました。

治療の説明がとても丁寧で、プリントしてもらえるので歯磨きのブラッシングなどが分かりやすかったです。歯医者さんは怖いというイメージを変えてくれてとても良かったです。ありがとうございました。

受付スタッフ(2人)の対応が素晴らしく良い。パソコン等を使って説明が分かりやすい。暇つぶしの玩具がとても良い。(チロルチョコはクリアしました。)

とても親切にして頂いて、本当にありがたかったです。今まで他の歯科では嫌な顔されたり、我慢しないと行けなかったりでしたけど、院長先生にもとても優しくしてもらって、周りのスタッフさんにも気を配って頂いて、本当に感謝しています。治療も、びっくりするぐらいに痛みを少なくしてもらったので、これまでの歯医者さんのイメージが変わりました。これからも宜しくお願いします。

細かい説明をしていただいたので、よく理解できて治療できたので良かったです。ありがとうございました。保険がきけば全部治したいのですが・・・
患者さんの声NO.7

子供が小さいのにも関わらず、すごくよく面倒をみていただけたところ。治療に対する説明を(私が少しでも疑問思っていることに対して)分かりやすく説明してくださるところ。雰囲気も治療スペースもあかるいところ。

スタッフの皆さんが丁寧に接して頂きまして良かったです。突然歯が痛くなり、インターネットで調べ自宅からも近く明るい院内ですぐに電話をしました。結果今では歯も良くなり笑顔に元気でいられて嬉しいです。また今後とも宜しくお願い致します。

療が終わって良かったです。今の歯の状態や治療方法をきちんと説明して頂いたので、次も行かないとという気持ちになれたからだと思います。スタッフの方も常に笑顔でとても気持ち良かったです。今後も定期的に来たいと思います。

痛がりで怖がりの私でしたが、リラックスできる雰囲気や先生方のお心配りで通院が嫌じゃありませんでした。「少しチクッとするかも」「しみないと思うけど、もししみたら・・・」など、痛みに対する予告(?)をしていただけたのはすごく安心できました。他の地方の歯科で嫌だった事(ゴム手袋の味がすごくゴムっぽいとか、麻酔の注射がめちゃくちゃ痛いとか)が一つもありませんでした。初めて全ての歯の治療が終わるまで通えました(笑)ありがとうございました。

雰囲気も明るく、スタッフの皆さんも良い人ばかりで気持ちよく治療できました。また、治療の説明も丁寧で、且つ、私の意見を尊重して治療してもらい感動致しました。良い歯医者を見つけれて良かったです。
患者さんの声NO.8

スタッフの皆様がとても優しく接してくれた所。今まで痛いと思って行ってなかった歯医者でしたけど全然痛くなく毎回楽しみに来れた所がここに通院して良かったなと思う所でした。

最初のカウンセリングから、分かりやすく説明して頂き、治療は歯石をとって頂いただけなのですが、色々とアドバイス等もして頂き、ありがとうございました。また3ヶ月後に伺わせて頂きます。

説明が丁寧で分かりやすく、とても安心感が持てました。院内も綺麗で、''歯医者さん''という恐怖感がない雰囲気だったので通う事が苦にならず、最後まで通う事が出来ました。また時間を作ってメンテナンスに来たいです。ありがとうございました。

説明もきちんと丁寧に分かりやすくして頂いたので良かったです。検査・設備等も今までしたことない事ばかりですごいと思いました。

最初に細かくレントゲンetcで点検して頂けるので、写真を見ながら自分も納得して継続した治療を受ける事が出来る。スタッフの方が皆さん優しい(子供の面倒見ていただけて助かりました。)家族皆でワイワイ通える所(病院嫌いの旦那も面白そう♪と通院始めました。びっくり!お世話になりました♪
患者さんの声NO.9

皆さんが笑顔で接してくれたので安心した。説明がとても分かりやすかったです。院内がとても明るく(カラーなど)ちょっとだけ安心しました。治療は本当に怖かったけれど、良かったです。ありがとうございます。

明るい雰囲気がとっても気に入りました。細かい説明も、治療の方針が理解できて良かったです!!

歯周病菌の治療を薬で行うと聞いて、少々驚きましたが、受けてみて、口臭やネバネバ感が驚くほど改善され、毎日快適に過ごせています。是非、メンテナンスも行きたいと思います。

スタッフの皆さんが明るくて通いやすかったです。治療の時もレントゲンなどで分かりやすくて良かったです。院内も明るくて良い感じでした。またお世話になる時は、こちらに来たいと思いました。ありがとうございます。

久しぶりの歯科でしたが、治療もほとんど痛みがなく、今まで躊躇していたのが馬鹿らしいくらいでした。スタッフの方もとても丁寧でした。ありがとうございました。
患者さんの声NO.10

ドクターやスタッフさんの対応がとても良くて、安心して通院できました。最近は全く歯医者に通院していなくて、久々に通院してとても治療が痛くなくて、驚きました。どうもありがとうございました!!

過去何回か歯科へ通ったが途中で行かなくなった。ドリーム歯科は最後まで通った事が驚いている。親切丁寧に治療していただいた。ありがとうございました。

先生方をはじめ、スタッフの皆さんが優しかったので、安心して通うことができました。説明なども分かりやすく丁寧でしたし、衛生管理もきちんとされているのがとても良かったです。ありがとうございました。

説明がとても分かりやすい。聞きたい事が的確に答えてもらえるので、安心して治療を受けられました。子供が生まれたら是非一緒に通いたいと思います。ありがとうございました。

スタッフの方々、ドクターの方々が皆さん優しく、どこか悪くてどういう状況になっているかを分かりやすく説明して下さったところが良かったです。写真やパソコンを使って説明して下さる所も分かりやすかったです。治療中も痛くないですか?と丁寧に治療して下さったので案して受ける事ができました。ありがとうございました。
患者さんの声NO.11

思っていたよりも時間がかからなかった所。ずいぶん歯医者に通院してなかったので、もっとかかると思っていました。次からは定期的に通院しようと思います。

昔、通っていた歯科医院とは違って、とても綺麗で明るく、スタッフの方々も優しくてこんな所もあるんだなぁと感心しました。歯医者さんのイメージも変わったと思います。ありがとうざいました!!

スタッフの皆さんがとても明るくて親切だったのでとても行きやすい歯科医院でした。不具合等も良いやすくて、大変満足でした。ありがとうございました。

インレー発注を早めに都合して下さったり、とても優しく、分かりやすく治療にあたって下さって、とても良かったです。知人が歯科を探していたら、是非紹介させて頂きたいと思います。

今や歯科医はここまで来たか!というのが感想です。良いクリニックを作ろうという皆さんの努力をひしひしと感じました。自分もサービス業に従事する者として参考にしていきたいと思います。ありがとうございました。
患者さんの声NO.12

治療前にちゃんと説明してくれるとこ。自分の希望を優先してくれるとこ。院内がきれいなので安心でした。後は皆さんの笑顔と声かけがとても気持ち良かったです。

院内がとても綺麗で、歯医者の怖いイメージがなくなるような明るい色合いなので、通っていて快適でした。スタッフの方々も感じが良く、病院でありがちな流れ作業のような対応がなく嬉しかったです。知人が歯医者を探していたら紹介したい歯医者さんでした。

完全予約制なので、途中であきらめることなく通えたところ。スタッフさんたちの笑顔

説明をきちんとしてくれ自分自身歯の大切さを知る事ができたのでとても良かったです。

皆様、ていねいでとても印象が良かったです。最初の診察の時突然貴院におうかがいしましたが、いそがしそうな中、ていねいに治療していただいた時は、安心感を得ました。
これからも宜しくお願い致します。
患者さんの声NO.13

写真で説明してくれる所が分かりやすくて良かった。院内が清潔で良い。

インターネットで検索して一番良さそうだったから通うようになったのですが、イメージ通り病院の雰囲気も良く、来やすかったです。治療も痛さを感じることもほとんどなく、とても良かったです。人気があるのでしょうがないと思いますが、予約できても結構待ち時間があるのがちょっと暇だったです。

色んな説明を詳しくして下さるので、わかりやすい。親しみやすくて楽しいです。

説明、対応が丁寧だった点(もちろん治療も)
※あと、これは意見箱にと思っていましたが、ドクターが挨拶や治療前に質問されたり話されたりする際、後ろからはなされる事が多く、わざわざお客様が後ろを向いて答えなくてはならないのかと感じた。後ろを向かず話すと前に来られるかと思ったが、ずっと後ろからの会話が続き、目を合わさず話をするのはあまり気分は良くないのではないかと思う。

子供が嫌がらず、楽しく通わせていただきました。先生を始め、スタッフの皆様がとても優しく、今では歯医者の先生になる!と話をしています。ありがとうございました。
患者さんの声NO.14

とても親切にして頂き、ありがとうございます。怖いというイメージの歯医者さんでも、安心して通院する事ができました。

歯磨きの仕方や自分の歯の事についてよく知る事ができた所が良かったです。

明るい雰囲気、院長先生を始め、優しいスタッフの皆様。歯科に通うのが大嫌いだった私が治療を終える事が出来る。すごくびっくりしてます。ありがとうございます。

計画的に治療してもらえるので、最初からいつ頃まで通うかよくわかった。院長先生も優しくこちらの話を聞いて頂けたので良かったです。

治療前のカウンセリング、説明などが丁寧で分かりやすかった事。先生はじめ、スタッフの皆さんがとても親切だった事。このクリニックにして良かったなと思います。
患者さんの声NO.15

治療時の説明が詳しく、安心して治療が受けられる。予約の変更を快く対応してもらえる。

未就児の子供(3歳)がいるので、一緒に連れて通院できたので良かったです。

毎日の歯磨きを丁寧にするようになりました。子供連れで来ても安心できます。

どうしても急ぎの仕事が入ったり、なかなか時間通りに来れずにすみませんでした。毎回受付のスタッフさん方が明るく迎えて下さって、ホッとしていました。針ほか少し先端恐怖症気味なので歯石とりでも全身固まっていましたが、女性の衛生士さん達も優しくて、安心しました。高音だけは(振動するあの・・・何で言うんでしょう?)最後までどうしても無理でしたが、途中でフェードアウトせず通えたのは、ドクターはじめスタッフの皆様のおかげです。今後とも宜しくお願いします。

歯科は虫歯で通うところでした、メンテに力を入れていけば痛い目に合わず、今の歯の状態を保てるかなと思えた所。ドクターが優しい所。(今までは背後から来て終わったら去っていくイメージ)
患者さんの声NO.16

楽しそうなイメージで、子供にも親しみやすいと思いました。毎回先生より治療の説明があり安心できました。

遅くまで開いている。スタッフの皆様が優しく気持ち良く通院する事が出来ました。ありがとうございました!
2013年7月29日 « トップへ » 2013年8月 2日








































