トップへ » その他のご案内 » ドリーム症例集 » ラミネートベニア症例
ラミネートベニア・オールセラミック (男性/中央区)

- 治療前

- 治療中
![]() 治療後 |
ラミネートベニアとは?歯の表面をほんの僅か削り、薄いコンタクト状のセラミックを貼り付けて、白く透き通った美しい歯にします。 歯を削る量が少ないので、歯にやさしく、簡単に白い歯を手に入れられます。写真の指の先に載っているのが、左側がラミネートベニア 右側がソフトコンタクトレンズです。ラミネートの薄さが分かりますね。 |
治療を受けての感想
前歯が折れてどうしようかと思っていましたが、すぐ仮歯を入れてもらい最終的には、元の歯よりも綺麗な歯が入り、うれしくなりました。
院長のコメント
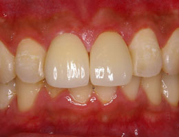
歯が折れて青くなって来院されたので、即日に仮歯を作り、最終的に綺麗な歯になった患者さんの症例です。
向かって右の歯は、大きく折れていましたので、オールセラミックを入れました。
向かって左の歯は、表面にラミネートベニアを接着しました。2本とも透明感がある綺麗な歯に仕上がりました。
ラミネートベニア、オールセラミッククラウン (女性/博多区)

- 治療前

- 治療後
ラミネートベニア (女性/博多区)

- 治療前

- 治療後
治療を受けての感想

ずっと気になっていた所が簡単にきれいになって・・・早く治療していればよかったです。気分も明るくなりました。ありがとうございました。
ラミネートベニア (男性)

- 治療前

- 治療後
治療を受けての感想

今まで前歯にコンプレックスがあり、笑うときはいつも前歯を見せないようにしていましたが、これからは何も気にせず思いきり笑えます。
本当にありがとうございました。
ラミネートベニア (女性/中央区)
美容整形でクイック矯正と呼ばれている技術です。表面にコンタクトレンズ状のセラミックを貼り付け、歯の色・形を修正します。歯を削る量が少ないので歯に優しく美しくできる技術です。

- 治療前

- 治療後
院長のコメント
怖がりの方でしたが、治療後は凄く満足して頂きました。
カテゴリー一覧
まずはお気軽にご相談ください。
「痛い思いをしないで治療したい」
「銀歯を白い歯に治したい」
「安全なインプラント治療を受けたい」
など、お口の悩みはありませんか?
治療に関する疑問・不安、治療内容について、
まずはお気軽にご相談ください。
「銀歯を白い歯に治したい」
「安全なインプラント治療を受けたい」
など、お口の悩みはありませんか?
治療に関する疑問・不安、治療内容について、
まずはお気軽にご相談ください。




歯を削る量が少ないので、歯にやさしく、簡単に白い歯を手に入れられます。写真の指の先に載っているのが、左側がラミネートベニア 右側がソフトコンタクトレンズです。ラミネートの薄さが分かりますね。











