2020年2月 2日 - 2020年2月 8日 « トップへ » 2020年2月16日 - 2020年2月22日
2020年2月15日
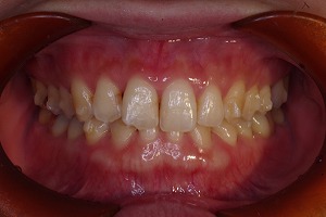
福岡市南区30代女性、マウスピース矯正(インビザライン)の患者さま







元々、上顎の前歯が捻転かつ重なっておられ、下顎の前歯には隙間が空いておりましたが、半年でかなり改善しました。もうひと頑張りですね。患者さんも頑張ってマウスピースを着けて頂いた結果です。

歯並びで人の印象は、かなり変わります。私たちは、歯列矯正で、患者さんの笑顔をサポートします。
2020年2月12日
2/12 バレンタインチョコを贈ります♪

福岡市中央区平尾のドリーム歯科クリニック、歯科助手の三角です。
今週はバレンタインデーですね。
ドリーム歯科クリニックでは、2月13日・14日限定で来院頂いた患者さまに、歯を大切にして頂きたい思いを込めてささやかではございますが、バレンタインチョコをお渡ししています。
砂糖が入ってない"キシリトール"を使ったチョコレートで、むし歯予防にもなるのでお勧めです!
販売もしていますので、気に入られた方はお気軽に受付でお申し付けくださいませ。